
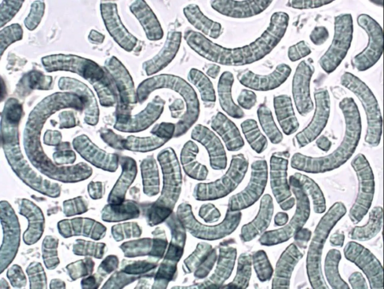
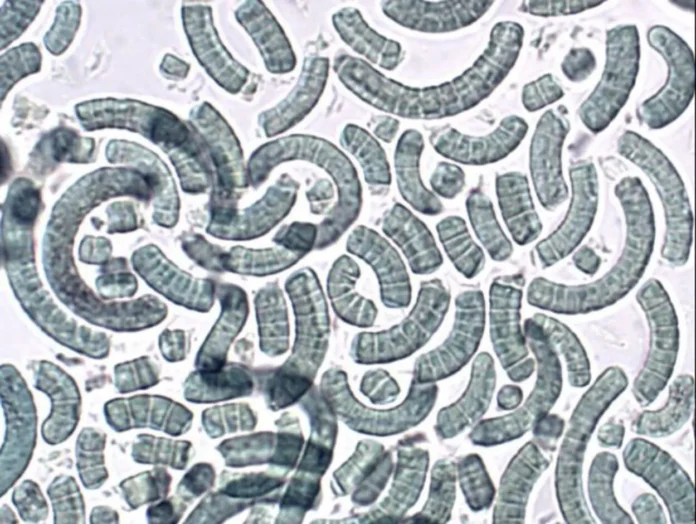
Спирулина (Arthrospira или Limnospira) – одна из наиболее востребованных и ценных цианобактерий на мировом рынке. Ее биомасса широко используется в пищевой индустрии, косметологии и нутрицевтике благодаря содержанию полезных компонентов, прежде всего уникального синего пигмент-белкового комплекса С-фикоцианина. Однако, несмотря на растущий спрос на продукты из спирулины, сбор ее биомассы по-прежнему остается технологически сложной задачей. Применяемые сегодня методы требуют существенных ресурсов и часто приводят к повреждению клеток, снижая качественные показатели ценных производных микроводоросли.
Перспективы и вызовы сбора спирулины
Сбор биомассы водорослей представляет собой процесс отделения клеток от больших объемов культуральной жидкости. Традиционно для этого применяют механические, физические или химические способы: фильтрацию, центрифугирование и пр. Но эти методы не всегда эффективны – они могут быть длительными, энергозатратными и нередко ведут к разрушению клеток, что негативно влияет на выход главного продукта – С-фикоцианина. В поиске более экологичных и экономичных подходов исследователи активно изучают флокуляцию – процесс, в ходе которого происходит склеивание клеток в крупные агрегаты-хлопья, значительно упрощающий последующее отделение биомассы.
Хитозан: перспективный биополимер для эффективной флокуляции
В качестве перспективного флокулянта специалисты выбрали хитозан – биополимер, получаемый из панцирей морских беспозвоночных. Среди его ключевых свойств: биоразлагаемость, нетоксичность и безопасность для здоровья человека. Однако для промышленного применения особо важно тщательно подобрать параметры хитозана: его молекулярную массу, вязкость и степень деацетилирования – от них напрямую зависит эффективность процесса сбора биомассы и сохранность ее ценных метаболитов.
До последнего времени не было полного понимания, каким образом перечисленные параметры влияют на результат. Чтобы закрыть этот пробел, ученые из МФТИ и НИЦ «Курчатовский институт» провели комплексное исследование с использованием пяти вариантов хитозана, различающихся между собой характеристиками.
Результаты исследования: оптимизация параметров и высокое качество С-фикоцианина
Полученные результаты показали, что вязкость хитозана и степень его деацетилирования (в предложенном диапазоне 58–82%) не оказывают существенного влияния на эффективность процесса. Решающее значение имела именно молекулярная масса биополимера. Оптимальное сочетание – средний показатель молекулярной массы (150–250 кг/моль) – обеспечило флокуляцию более чем на 90% уже в течение первых 5–10 минут. Максимально эффективным оказался хитозан с молекулярной массой 250 ± 50 кг/моль при степени деацетилирования 65 ± 5%.
Важнейшее достижение метода – резкое повышение качества получаемого продукта. По сравнению с традиционным центрифугированием, предложенная технология позволила удержать количество экстрагируемого С-фикоцианина и аллофикоцианина на прежнем уровне, но заметно увеличить величину индекса чистоты – на 41–50%, а антиоксидантную активность – на 30%. Такой результат открывает новые горизонты для различных отраслей: высокая степень чистоты экстракта позволяет использовать его непосредственно в косметике, минимизируя затраты на последующую доочистку.
Рост востребованности и новые возможности для промышленности
С-фикоцианин с чистотой выше 1,5 может напрямую применяться в косметологических продуктах, что повышает его рыночную стоимость и снижает производственные издержки. В результате внедрение подобной технологии делает производство более экономичным, устойчивым и безопасным для окружающей среды. К тому же, выбор корректного типа флокулянта позволяет одновременно решать задачи сбора, предварительного концентрирования и очистки, то есть становится мощным инструментом развития современного биотехнологического производства.
Экологичность и «зеленые» инновации
Внедрение хитозана в технологии сбора микроводорослей соответствует глобальным тенденциям в сфере зеленой химии и промышленности. Такой подход позволяет значительно уменьшить затрату воды и электроэнергии, снизить загрязнение и резко упростить утилизацию отходов благодаря использованию полностью биоразлагаемых компонентов. На выходе предприятия получают биомассу высшего качества, максимально адаптированную для пищевых, медицинских и косметических целей.
Будущее спирулины: новые горизонты с научными методами
Развитие технологий на базе отечественных разработок МФТИ и НИЦ «Курчатовский институт» выводит производство спирулины и получение высокочистого С-фикоцианина на принципиально новый уровень. Синергия фундаментальных знаний и практических инноваций открывает широкие перспективы для развития биотехнологии на российском и международном рынках. Внедрение экологически чистых, быстрых и доступных методов способствует росту конкурентоспособности отечественных производителей и делает полезные продукты более доступными для потребителя.
Таким образом, оптимизация параметров хитозана и внедрение новых методов сбора спирулины позволяют создавать качественно новый стандарт в производстве микроводорослей. Промышленность получает инструмент повышения эффективности, устойчивости и экологичности, а потребитель – продукты с улучшенными питательными и биологически активными свойствами.
Источник: naked-science.ru






